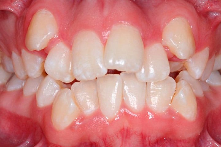
El Apiñamiento Dental consiste en una alteración en la posición de las piezas dentales, su corrección puede realizarse por diversos tratamientos ortodónticos. La finalidad de este tratamiento es la alineación de las piezas dentales de manera adecuada, mejor conocido como “correcto alineamiento dental”. El apiñamiento dental no constituye una maloclusión disfuncional, por ello, el principal motivo para su corrección es el estético.
El apiñamiento de los dientes inferiores se puede solucionar con la utilización de tratamientos ortodónticos, extracciones por separado o combinados, dependiendo de la severidad de cada caso. El odontólogo realizara un diagnóstico integral del caso clínico para determinar cuál es la mejor manera de solucionar la mal posición de los dientes caninos e incisivos inferiores que están apiñados. Una vez que se ha estudiado la situación general de todo el arco inferior se decide aplicar un tratamiento u otro en función de la severidad del caso. Dividimos el tratamiento del apiñamiento inferior según su gravedad en: leve, moderado o grave.
Causas del Apiñamiento Dental
El apiñamiento dental supone una falta de espacio para la correcta posición de las piezas dentales, de manera que hay una pérdida de contacto entre los puntos dentarios anatómicos de los mismos. Los dientes erupcionados presentan anomalías de inclinación y posición.
En otros casos un diente puede no erupcionar debido a la falta de espacio y quedar retenido en el maxilar. El apiñamiento se valora en toda la arcada dentaria, diferenciando entre apiñamiento en el sector anterior (incisivos y caninos) y el posterior (bicúspides y molares). En dentición mixta se mide el apiñamiento incisivo y la falta de espacio para la erupción de caninos y premolares en milímetros negativos.
Opciones de tratamiento del Apiñamiento Dental
Teóricamente hay cuatro posibles vías para solucionar la falta de espacio:
- Aumentar el tamaño de los maxilares. Se puede aumentar la anchura del maxilar superior.
- Aumentar la longitud de arcada.
- Disminuir el tamaño mesiodistal de los dientes. Mediante un limado interproximal de parte del esmalte de las caras proximales de los dientes.
- Extracciones dentarias (disminuir el número de dientes).
Una dentadura bien alineada facilita la higiene dentaria, lo que previene la aparición de caries y enfermedad periodontal y también permite obtener una buena oclusión en la que el impacto de las fuerzas masticatorias sea axial a las raíces dentarias, lo que contribuye a la salud.
Los casos menos graves pueden solucionarse mediante cualquier tipo de tratamiento ortodóntico precedido de stripping dental (reducción interproximal).
El stripping dental consiste en una reducción mínima del esmalte dental mediante herramientas manuales o mecánicas para ganar un poco de espacio y facilitar luego el movimiento de los dientes mediante el tratamiento ortodóntico. Esta segunda parte puede realizarse con todo tipo de brackets u ortodoncia invisible (Invisalign).
Las situaciones en que el apiñamiento es severo es debido a una falta de espacio considerable, puede estar indicada la extracción de uno o varios dientes.
Debemos ser conscientes que las muelas del juicio pueden ser las culpables de que se produzca el apiñamiento, pero el hecho de extraerlas no significa que los dientes vayan a volver a su posición natural. Por este motivo puede estar indicado extraer los terceros molares incluidos de forma preventiva antes que hipotéticamente puedan desplazar y apiñar más los dientes anteriores.
Es importante que tras haberse sometido a cualquiera de estos tratamientos de ortodoncia, el paciente utilice algún tipo de retenedor, sea fijo o removible, para asegurarse que los dientes no se moverán con el tiempo, una tendencia natural especialmente significativa en los dientes anteriores inferiores.
IMPLANTES DENTALES | IMPLANTES DENTALES PRECIOS | IMPLANTOLOGÍA DENTAL | PRÓTESIS DENTAL | ESTÉTICA DENTAL
