IMPLANTES DENTALES
¿Qué es un Implante Dental?
Un implante dental es un componente de titanio en forma de tornillo que sustituye a la raíz de un diente natural, sobre el implante dental se coloca una corona que fisicamente es igual a un diente natural. Los implantes dentales son funcionales y estéticos, igual que un diente natural y pueden durar toda la vida con los cuidados adecuados.
¿Cuánto cuesta un Implante Dental?
El precio de un implante dental en México va desde los $ 9,000 a $ 20,000 pesos o más. Los precios de un implante dental varían de acuerdo con el tratamiento que necesita cada paciente, marca del implante, tratamientos adicionales e incluso la experiencia del cirujano.

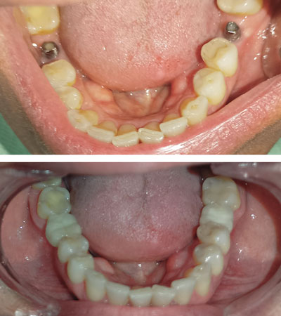
CASOS CLÍNICOS
CARACTERÍSTICAS
Características de un Implante Dental
- Los implantes se integran perfectamente al organismo.
- Los implantes dentales son estéticos y funcionales.
- Los implantes dentales NO causan dolor, ni molestia.
- Son cómodos y no se mueven ya que son fijados al hueso.
- Son de fácil mantenimiento igual que los dientes naturales.
- Un implante dental puede durar para toda la vida.
«Los implantes dentales son la mejor opción para recuperar uno o varios dientes naturales perdidos».
BENEFICIOS
Principales beneficios de un Implante Dental
- Recupera la función masticadora y estética dental.
- Reduce el daño a los dientes adyacentes evitando la pérdida de hueso.
- Evita tallar dientes adyacentes al no usar puentes dentales.
- Elimina el movimiento e incomodidades de una prótesis removible.
- Al recuperar tu salud dental puedes disfrutar de tus alimentos favoritos.
- Obtén una sonrisa agradable y recupera tu autoestima.
TÉCNICAS EN IMPLANTOLOGÍA
Implante Unitario
Mini Implantes Dentales
Puente sobre Implantes
All On Four
¿Qué incluye el precio de un implante dental?
Normalmente, el precio incluye: el implante de titanio, la cirugía de colocación, revisiones postoperatorias y consulta de valoración.
¿Por qué varía tanto el costo de los implantes dentales?
Cada caso es único y requiere una valoración para determinar el mejor tratamiento. El costo final depende de factores como:
- Marca y tipo de implante utilizado
- Experiencia del implantólogo
- Número de piezas a reemplazar
- Ubicación de la clínica
- Tratamientos complementarios (injertos óseos, extracciones, etc.)
- Tipo de corona dental que se colocará (metal, porcelana, zirconio)
¿Es más caro un implante que un puente fijo?
Inicialmente sí, un implante dental suele ser más costoso que un puente fijo. Sin embargo, los implantes ofrecen mayor durabilidad y no requieren desgastar dientes sanos, por lo que a largo plazo son una mejor inversión.
¿El precio del implante incluye la corona dental?
No siempre. Algunas clínicas cobran el implante y la corona por separado. Pregunta si el precio es todo incluido. En nuestra clínica te damos un presupuesto detallado con todo lo que necesitas para tu tratamiento después de valorar tu caso.
¿Puedo pagar un implante dental a meses sin intereses?
Sí, puedes pagar el costo total del tratamiento a meses sin intereses con tarjeta de crédito Visa y MasterCard.
¿Hay implantes dentales económicos o de bajo costo?
Sí, pero hay que tener cuidado. Es fundamental que el tratamiento lo realice un profesional calificado y que los materiales sean de buena calidad para evitar complicaciones.
¿Mi seguro dental cubre implantes?
En general, los seguros dentales no cubren implantes. Algunos seguros médicos mayores o planes especiales pueden cubrir una parte. Consulta con tu aseguradora.
¿Vale la pena invertir en un implante dental?
Definitivamente sí. Un implante dental es una solución segura, duradera y estética que mejora tu salud bucal, tu apariencia y tu calidad de vida.
¿Quieres saber si eres candidato para implantes y cuanto costara el tratamiento? Agenda tu cita y con gusto te damos toda la información que necesitas.










